Patient 594 (3136853F)
Consult Results
| Start date | Service name | Colid | Value (original) |
|---|---|---|---|
| 4/01/2024 | Pneumologie | ACTUELLEMENT | Obstruction nasale et rhinorrhée persistantes. Recrudescence de mars à septembre. Odorat conservé. Habitat : campagne, 2 chiens. Dyspnée d'effort. Toux après les éclats de rire. Toux la nuit au coucher. Les viroses ORL ont tendance à trainer. Possible crise d'asthme en période pollinique. Pyrosis 1X/mois pour l'instant. A déjà été traitée par Questran. Dyspepsie si elle mange gras. Syndrome oral lorsqu'elle ingère poire, pèche, nectarine. Syndrome oral et serrement de gorge, voire petite poussée d'urticaire si elle mange des noisettes. Syndrome oral aussi avec le céleri, carottes râpées, mangue, fruits de la passion. Les légumineuses sont très mal tolérées, ainsi que le poivron, les oeufs qui sont aussi digérés laborieusement. Pas d'allergie aux venins d'insectes. Pas d'allergie médicamenteuse. Peau atopique dans la petite enfance. Douleurs articulaires sacroiliaques. |
| 18/07/2024 | Pneumologie | CONCLUSION | Patiente atopique, sensibilisée aux acariens, chat, pollens d'arbres et de graminées. Rhinite allergique persistante (acariens) qui subit une recrudescence saisonnière de février-mars à fin juillet. Nette amélioration du contrôle de la rhinite. Il persiste une obstruction nasale clinique mais le ressenti de la patiente est nettement amélioré. Hyperréactivité bronchique faible mais démontrée. Possible asthme d'effort, post-viral et saisonnier. Disparition de la toux et subjective amélioration de la dyspnée d'effort. La suspicion d'asthme se renforce. Petite amélioration spirométrique du VEMS de 3.75 l/s à 3.84 l/s mais pas significative. J'ai proposé un arrêt du Relvar avec observation pour son rôle dans le contrôle des symptômes et la nécessité de traitement à plus long terme. Syndrome oral croisé bouleau sévère lorsqu'elle ingère des noisettes, plus léger envers pomme, poire, pèche, autres fruits, carotte et céleri. Deux types de mécanismes d'allergies alimentaires co-existent : - Un mécanisme "croisé bouleau" par les protéine PAR10 vis-à-vis de la noisette, (habituellement sans gravité). - Une allergie aux allergènes des légumineuses (profilines, protéines de stockage), allergie plus dangereuse potentiellement. Je reverrai la patiente pour initier une désensibilisation avec un extrait Purethal bouleau + graminées. Après quelques temps, sera combinée une désensibilisation sublinguale à la pomme granny. |
IgE Results
| Demographic nr | Sample date |
F13 Peanut extract |
F447 Peanut rAra h6 |
F427 Peanut rAra h9 |
F423 Peanut rAra h2 |
F422 Peanut rAra h1 |
F353 Peanut rGly m4 |
F431 Peanut nGly m5 |
F432 Peanut nGly m6 |
F14 Soybean extract |
F309 Chickpea extract |
F235 Lentil extract |
F12 Pea extract |
|---|---|---|---|---|---|---|---|---|---|---|---|---|---|
| 11-240202-0514 | 2/02/2024 | 2.33 | 1.3 | ||||||||||
| 11-240718-0335 | 18/07/2024 | 0.64 | 1.29 |
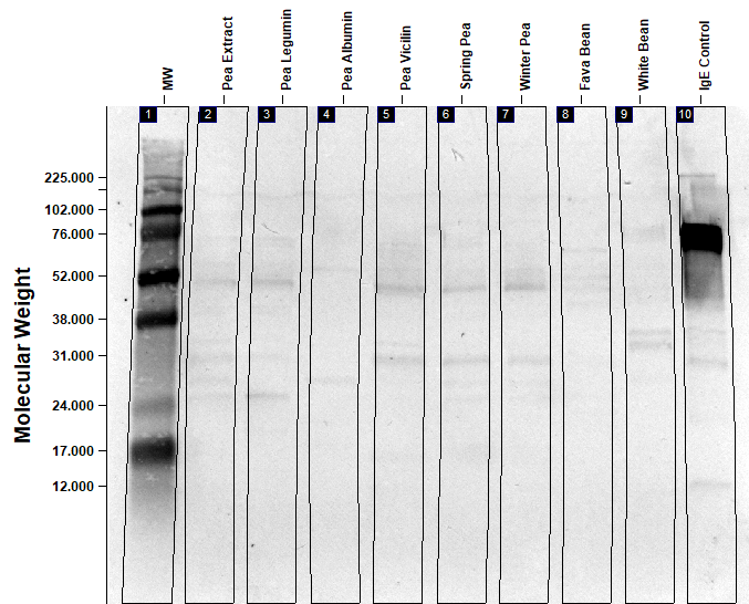
Western Blot Results
| Patient id | Pea Extract | Pea Legumin | Pea Albumin | Pea Vicilin | Spring Pea | Winter Pea | Fava Bean | White Bean |
|---|---|---|---|---|---|---|---|---|
| 594 | ++ | ++ | + | ++ | ++ | ++ | + | + |
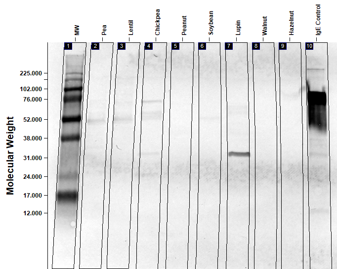
| Patient id | Pea Extract | Lentil | Chickpea | Peanut | Soybean | Lupin | Walenut | Hazelnut |
|---|---|---|---|---|---|---|---|---|
| 594 | ++ | ++ | ++ | - | - | +++ | - | - |