Patient 1819 (4934665Y)
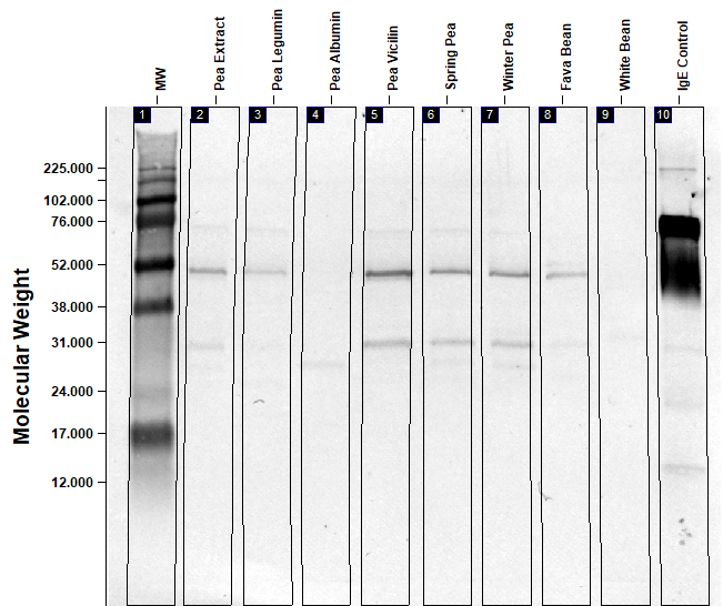
Western Blot Results
| Patient id | Pea Extract | Pea Legumin | Pea Albumin | Pea Vicilin | Spring Pea | Winter Pea | Fava Bean | White Bean |
|---|---|---|---|---|---|---|---|---|
| 1819 | ++ | + | + | ++ | ++ | ++ | ++ | - |
| Patient id | Pea Extract | Lentil | Chickpea | Peanut | Soybean | Lupin | Walenut | Hazelnut |
|---|---|---|---|---|---|---|---|---|
| 1819 | ++ | ++ | ++ | + | + | - | - | - |