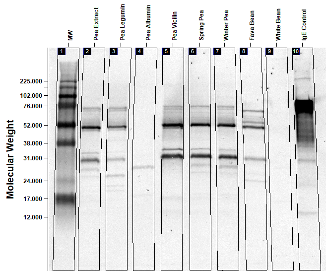
Patient 1818 (4818048Q)
Western Blot Results
| Patient id | Pea Extract | Pea Legumin | Pea Albumin | Pea Vicilin | Spring Pea | Winter Pea | Fava Bean | White Bean |
|---|---|---|---|---|---|---|---|---|
| 1818 | +++ | ++ | ++ | +++ | +++ | +++ | +++ | - |
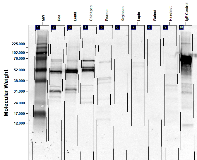
| Patient id | Pea Extract | Lentil | Chickpea | Peanut | Soybean | Lupin | Walenut | Hazelnut |
|---|---|---|---|---|---|---|---|---|
| 1818 | +++ | +++ | +++ | + | - | + | - | + |