Patient 1070 (3840313N)
IgE Results
| Demographic nr | Sample date |
F13 Peanut extract |
F447 Peanut rAra h6 |
F427 Peanut rAra h9 |
F423 Peanut rAra h2 |
F422 Peanut rAra h1 |
F353 Peanut rGly m4 |
F431 Peanut nGly m5 |
F432 Peanut nGly m6 |
F14 Soybean extract |
F309 Chickpea extract |
F235 Lentil extract |
F12 Pea extract |
|---|---|---|---|---|---|---|---|---|---|---|---|---|---|
| 11-240312-0482 | 11/03/2024 | 0.11 | 14.4 | 15.0 |
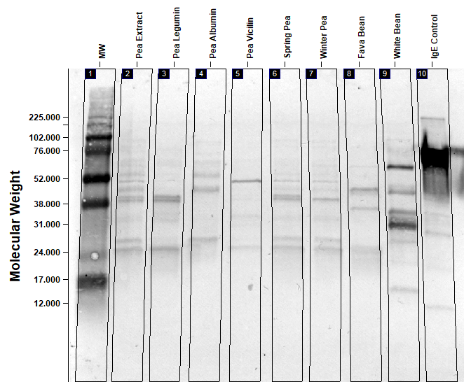
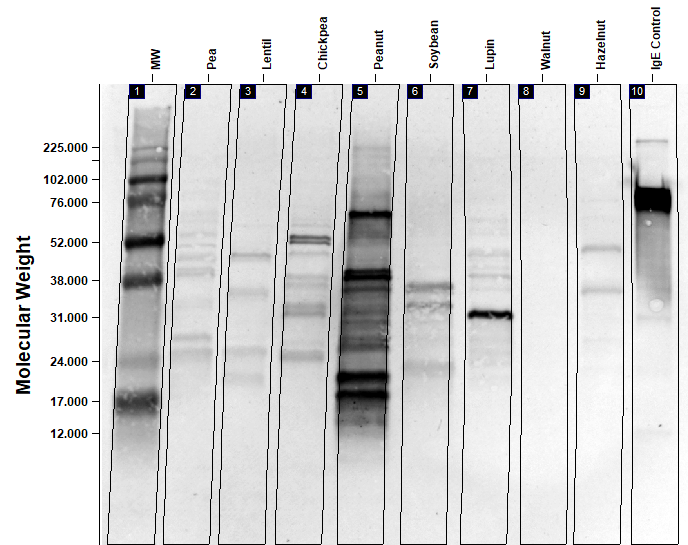
Western Blot Results
| Patient id | Pea Extract | Pea Legumin | Pea Albumin | Pea Vicilin | Spring Pea | Winter Pea | Fava Bean | White Bean |
|---|---|---|---|---|---|---|---|---|
| 1070 | ++ | ++ | ++ | ++ | ++ | ++ | ++ | +++ |
| Patient id | Pea Extract | Lentil | Chickpea | Peanut | Soybean | Lupin | Walenut | Hazelnut |
|---|---|---|---|---|---|---|---|---|
| 1070 | ++ | ++ | ++ | ++++ | ++ | +++ | - | ++ |